Sarampión, varicela y rubéola son enfermedades virales clásicas de la infancia. Comparten fiebre y ronchas, sí… pero el tipo de manchas y el orden en que aparecen cambian bastante.
Sarampión, varicela y rubéola: cómo distinguir el sarpullido
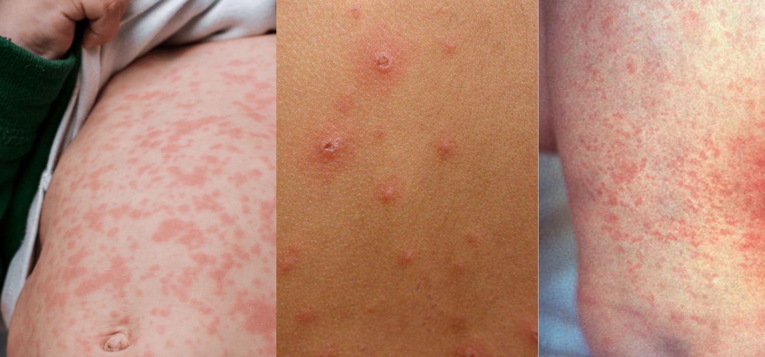
Sarampión: empieza en la cara y baja
Es la más intensa de las tres. Primero notas un cuadro tipo gripa fuerte con fiebre alta, tos seca, ojos rojos y mucha congestión. Después aparecen puntitos blancos dentro de la boca (dato muy clave). Uno o dos días más tarde sale el sarpullido.
Cómo son las manchas:
- Rojas
- Planas al inicio
- Empiezan en la cara y detrás de las orejas
- Bajan al pecho y luego a piernas
- Se unen formando placas grandes
Tu hijo se ve muy decaído. No quiere jugar. Si hay dificultad para respirar o fiebre persistente, sí necesitas valoración médica.
Varicela: granitos con líquido y mucha comezón
Es la más fácil de reconocer. El sarpullido aparece casi al mismo tiempo que la fiebre, no después.
Cómo son las lesiones:
- Empiezan como puntitos rojos
- Luego se vuelven ampollas con agua
- Después costras
- Salen en brotes durante varios días
Por eso verás manchas en distintas etapas al mismo tiempo. Otro dato típico es que la comezón es intensa, sobre todo en la noche. Además aparecen en cuero cabelludo, espalda y abdomen primero, no en la cara.
Rubéola: leve pero importante en embarazo
Es la más suave en síntomas, pero no por eso irrelevante. Tu hijo casi no se siente enfermo. Apenas fiebre baja y ganglios inflamados detrás de las orejas.
Cómo son las manchas:
- Rosadas claras
- Finas
- Empiezan en la cara
- Desaparecen rápido (3 días aprox.)
Similitudes entre las tres
Comparten varias cosas:
- Son virus
- Se contagian por aire o saliva
- Dan fiebre + erupción
- Se previenen con vacuna
Pero la intensidad y el tipo de lesiones cambian completamente.

Si dudas, no necesitas adivinar en casa.
Una revisión ayuda a evitar complicaciones y contagios.
Fuentes:
- Organización Mundial de la Salud (OMS)
- Centros para el Control y Prevención de Enfermedades (CDC)
- Asociación Española de Pediatría
- Secretaría de Salud de México
